![]()
インプラントならできる。
インプラント治療とは、歯の抜けたところにインプラント(人工歯根)を埋め込み、人工の歯をその上に取りつける治療法です。
埋め込まれたインプラントは、骨と結合してしっかりと固定されます。
その上に取り付ける人工の歯も、患者様に合わせて一本ずつ作るので、噛みごこちも外観も天然の歯とほとんど変わりません。
今まで歯が原因であきらめていた事が、インプラントによって可能になります。
食事をおいしく食べることができ、趣味にも積極的に取り組め、友好関係も広がり、あなたの生活が快適で豊かなものになります。
こんな方にオススメ
- 歯列にスキ間があるため、自然な形のブリッジができない方
- すでに入っている大きなブリッジを全部やり直す必要性が生じた方
- 入れ歯を使ってみたが、十分に満足できない方
- ブリッジや入れ歯を入れるために、健全な歯を削る必要がある方
インプラントの難症例
「骨の厚みが足りない」「入れ歯しかできない」といった難症例では、インプラントを行うことが出来ませんでした。
当院では慎重に判断を行い、CT撮影後に顎モデルの作製を行ってから
インプラントの埋入手術を行います。
これにより、飛躍的にインプラント治療が可能になってきました。
[治療症例]
●インプラント(下顎・臼歯)
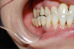
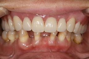
他院にて埋入したインプラントがグラグラすると悩んでいた患者さんが、当院に来院いただいたケースです。
| 治療前 | ![]() |
![]() |
![]() |
|---|---|---|---|
| 治療後 | ![]() |
![]() |
![]() |
インプラントがグラグラしており、顎の骨もほとんどない状態でした。
このような難症例の場合、より慎重に診断を行い、CT撮影後に顎モデルの作製を行ってからインプラントの埋入手術を行います。
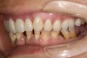
●インプラント(上顎)
上顎の歯がなく、インプラントにて機能回復を行ったケースです。
| 治療前 | ![]() |
![]() |
![]() |
|---|---|---|---|
| 治療後 | ![]() |
![]() |
![]() |
GBR(骨誘導再生)
あごの骨の高さや幅が少ないと、そのままではインプラント治療はできません。
GBR法は主にそういったケースでもインプラントの植立が可能になるように骨を再生させる(造る)方法です。
この方法は、手術により遮断膜を歯肉の下に入れ骨の再生するスペースを作ってやります。このスペースがないと歯肉の再生のスピードが速いため、歯肉が入り込み、骨の再生ができません。そして、このスペースに骨補填材填入や親知らずの周りの骨などを移植し、骨を再生(造る)します。
この方法により、今まで困難だった骨量が少ないところにもインプラント治療が可能になりました。
PRPインプラント療法
インプラントには埋め込む顎の骨が充分でない患者様にはそのままでは治療できないという欠点があります。
この欠点を補うために、骨を造る処置である骨造成術や骨移植術が生まれ、その技術も年々進歩してきました。
自分の生きた細胞から失った組織を再生させようとする新しい医療(組織工学)が注目を浴びています。
治りが早く痛みが少なく身体にやさしいと評判の骨造成法「PRP(多血小板血漿)骨再生療法」を応用した「PRPインプラント療法」です。
PRP(多血小板血漿)の骨の再生や傷の治りを早くする性質を利用して、あごや歯ぐきの骨の再生をおこなう骨再生術です。
患者様自身から採取した血液よりPRPを精製し、状況に応じてあらかじめ採取しておいた自家骨(患者様の骨)と混ぜて使用します。
PRPは凝固反応する時に、様々な組織成長因子を放出します。また、PRPが凝固反応をおこし形成されるフィブリン網(かさぶたのようなもの)が遊走してきた骨芽細胞や線維芽細胞の足場となり、創傷治癒が促進されると考えられています。
サイナスリフト
歯が抜けて時間が経過等で顎の骨がやせてしまい、インプラントを入れるスペースが不足する事があります。
以前は骨がやせているとインプラントができないケースがありましたが、骨の厚みを作るため「上顎洞(サイナス)」洞底部に骨再生を施すことでインプラントが可能になりました。
サイナスリフトは、上顎の臼歯部あたりの骨が薄くインプラント治療を選択できない方に、自家骨や骨補填材を利用する方法(自家骨や骨補填材を利用しない場合もあります)でインプラントを埋め込むのに十分な骨の厚みを確保します。
![]()
![]()
All-on-4(6)
総入れ歯の方や多くの歯を失った方に、4~6本のインプラント体をバランスよく骨に埋入する手術のことです。
顎骨に傾斜角をつけてインプラントを埋入し、すべての歯を4~6本のインプラントでしっかり固定するため、治療したその日に噛むことができ、普通の食事が可能です。
通常上顎・下顎共8本程度のインプラントが必要になりインプラントの本数が多い分費用もかかりましたが、All-on-4(6)は片顎12本の人口の歯を支えるために必要なインプラント本数を4~6本に減らすことが可能になり、手術時間や費用を抑えることが可能になりました。
【治療前】

【治療後】














